牙齿矫正一定要等到12岁吗?
作者:吕斯澄 2021-08-23 21:44:37 来源:“北京儿童医院口腔科”公众号 浏览次数:
有不少家长认为,矫正要等孩子的牙齿全部换完才能做,或者牙齿排列得不整齐才需要做矫正。实际上,有很多潜在的咬合错乱、口腔不良习惯、牙齿替换异常等问题在生活中容易被忽视。这些问题在孩子的生长发育过程中会影响牙齿的生长、排列,甚至影响孩子的面容。如果不及时干预,一味地等孩子换完牙再进行矫正,往往会错过最佳治疗时间。那什么时候才是矫正的最佳年龄呢?这需要根据孩子的口腔问题而定,一般分为三个阶段。
一、乳牙期(3-5岁)
这个阶段主要是针对“地包天”的矫正和口腔不良习惯(吮指、咬唇、吐舌、口呼吸等)的破除,以利颌骨的发育,预防更严重错合的发生。

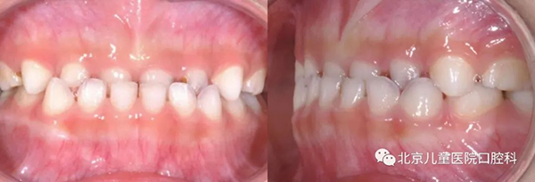
牙齿“地包天”,咬合时下前牙在上前牙外面
二、替牙期(8-12岁)
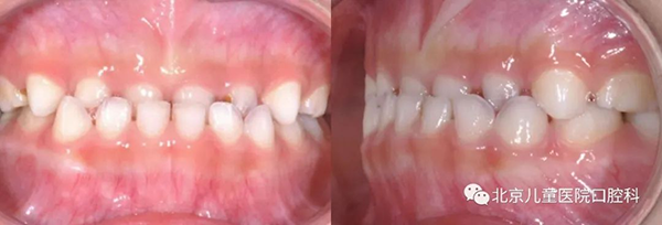
这个阶段是孩子生长发育的高峰期,颌骨具有很高的生长潜能,所以也是对面容改善最有利的一个阶段。对于牙齿反合的孩子来说,这个阶段是治疗的关键期,对于解除牙齿的反合、改善“弯月脸”来说至关重要。

“弯月脸”下颌相对突出而上颌相对后缩,牙齿也是下牙突出
有的孩子存在一些口腔不良习惯,会影响牙齿的咬合和面部美观,比如口呼吸会导致下颌逐渐后缩、上牙逐渐前突;吐舌习惯会让牙齿前牙开咬,影响进食和发音。

口呼吸习惯导致下颌后缩、上牙前突

吐舌习惯导致前牙开合咬不上
同时,在这个阶段孩子的乳牙逐渐替换为恒牙,有的时候周围的牙都替换了,却只有一颗牙迟迟不松动;有的时候乳牙脱落了很久,新牙还没有长出来;或者新牙长出来却是“扭着身子”的……这有可能是存在多生牙、融合牙、牙齿异位萌出、牙扭转等问题。
这些“隐性”问题可能无法自行发现,建议孩子6至7岁到口腔科就诊进行系统的口腔检查,需要时及时治疗,以免造成更严重的影响。

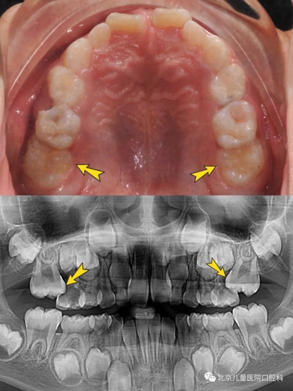
乳牙迟迟没有替换(上图),因为多生牙阻挡(下图)

乳牙是融合牙(上图),对应恒牙牙胚发育异常(下图)

上颌六龄齿卡在前面乳磨牙颈部,位置低,长不出来(上图),六龄齿位置较为隐蔽,萌出时不替换乳牙,萌出障碍很难发现(下图)

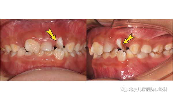
牙齿扭转
三、恒牙期(12岁以上)
大部分常见的错颌畸形在这个阶段都可以进行矫正,但对于骨骼畸形的矫形治疗相对有限,所以建议孩子第一次到口腔正畸科就诊检查的时间还是要提前哦!早发现,早干预,让孩子拥有一口整齐的牙齿和更漂亮的面容吧!
作者简介

吕斯澄,硕士研究生学历,首都医科大学附属北京儿童医院口腔科医师,毕业于首都医科大学口腔医学院,主要从事青少年儿童乳牙期、替牙期及恒牙早期各类错颌畸形的综合性正畸治疗。
上一篇: 怀疑孩子长了多生牙需要做什么检查?
下一篇: 一笑就露牙龈的尴尬









.jpg)

.jpg)




