病毒性脑炎
2024-08-14 10:10:54
浏览次数:
1、 什么是病毒性脑炎?
◇ 病毒性脑炎(简称病脑)是指各种病毒引起的脑实质炎症,如果有脑膜同时受累则视为病毒性脑膜脑炎。
◇ 引起病毒性脑炎的常见病原主要为柯萨奇病毒、埃可病毒等肠道病毒,其次为单纯疱疹病毒、腮腺炎病毒、巨细胞病毒、EB病毒及虫媒病毒如乙脑病毒等。
◇ 临床仅1/4的病例能查出确切致病病毒。
2、 病脑有哪些表现?
◇ 前驱症状:发热、头痛、食欲减退、呕吐、腹泻、咽痛、肌痛或精神淡漠等。
◇ 神经精神症状:头痛、呕吐加剧、易激惹、嗜睡或昏睡、抽搐等。有些患儿以精神改变为主,兴奋多语、烦躁不安等。
◇ 伴发症状:可有皮疹、疱疹、偏瘫等。
◇ 年长儿常以精神行为异常、意识障碍起病,婴幼儿多以发热、抽搐起病。
3、 得了病脑都需要做哪些检查?
◇ 脑脊液检查:行腰椎穿刺术留取脑脊液,呈非化脓性改变。
◇ 病毒学检查:特异性病毒抗体及病毒核酸检测。
◇ 影像学检查:头颅CT、磁共振等。
◇ 脑电图检查等

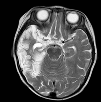
图1 单纯疱疹病毒脑炎,箭头所示为颞岛叶皮层坏死、脑软化及部分胶质增生
4、 得了病脑如何治疗?
◇ 一般处理:以休息为主,保持机体内环境稳定,如有意识改变的患儿应清除口腔、呼吸道分泌物,保持呼吸道通畅;
◇ 积极控制体温:物理降温及药物降温
◇ 控制抽搐发作
◇ 减轻颅高压
◇ 抗病毒治疗
◇ 支持治疗:足够的热量和水分供给
◇ 恢复期治疗:恢复受损伤的脑组织功能
5、 病脑的预后好吗?
病脑的病程一般在2周左右。病情较轻时,预后一般良好。如昏迷持续时间较长,或有频繁的抽搐时,容易遗留神经精神系统后遗症。危重者呈急进性过程可导致死亡
6、 得过一次病脑还会得第二次吗?
病毒性脑炎一般不会复发,但病毒种类繁多,不排除再次感染的可能,因此少数有可能再得病毒性脑炎的可能
7、 如何预防病脑?
◇ 多锻炼,提高抗病能力,预防上呼吸道与肠道感染
◇ 按时接种疫苗
◇ 防蚊虫叮咬、积极防蚊灭蚊。
◇ 对正在流行的传染病,做好隔离
8、 病脑出院后注意什么?
注意观察孩子的生长发育、智体力发育情况,有无发热、尖叫、烦躁、肢体活动障碍等,出院后1月,3月,6月,1年,3年按照预约时间到专业门诊就诊,定期进行全面体检,复查头颅影像、听力、眼底、脑电图等。
上一篇: 传染性单核细胞增多症
下一篇: 败血症









.jpg)

.jpg)




