健康处方-脑瘫
2024-08-14 11:29:57
来源:功能神经外科脑瘫诊疗中心
浏览次数:
北京儿童医院 功能神经外科脑瘫诊疗中心
脑性瘫痪(简称脑瘫),是由发育不成熟的大脑(产前、产时或产后)、先天性发育缺陷(如畸形、宫内感染)或损伤(如早产、低出生体质量、窒息、缺氧缺血性脑病、核黄疸、外伤、感染)等非进行性脑损伤所致。我国1-6岁脑瘫患病率为2.46‰。
脑瘫定义
一组持续存在的中枢性运动和姿势发育障碍、活动受限症候群,这种症候群是由于发育中的胎儿或婴幼儿脑部非进行性损伤所致;常伴有感觉、知觉、认知、交流和行为障碍以及癫痫和继发性肌肉、骨骼等问题。

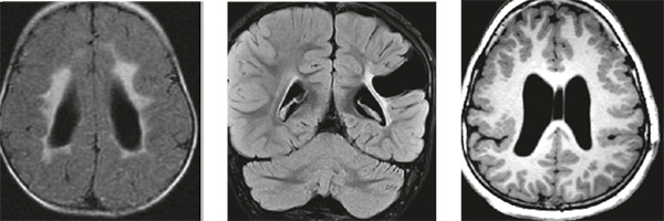
头MR显示脑部非进行性损伤(缺血缺氧变、脑梗塞及脑发育异常)。
临床分型
痉挛型。包括四肢瘫、双瘫和偏瘫。特征是牵张反射亢进。四肢肌张力增高,上肢背伸内旋、拇指内收,下肢交叉、屈膝、剪刀步、尖足、足内外翻等高肌张力症状。
不随意运动型。包括舞蹈样手足徐动(或只有舞蹈/手足徐动)、肌张力障碍。特征为非对称性姿势,头部和四肢出现不随意运动,难以自我控制。肌张力可高可低。
共济失调型。特点是由运动平衡感觉障碍造成不协调运动。两脚分离较远,步态蹒跚,方向性差;运动笨拙、不协调。肌张力可偏低,运动速度慢。
混合型。具有两型以上的特点。

脑瘫治疗
一般治疗。运动治疗PT、作业治疗OT和理疗等是脑瘫康复治疗的基础方法。采用多学科专业康复团队模式制定康复治疗方案。家庭参与,个体化治疗。
痉挛治疗-选择性脊神经后根切断术。选择性脊神经后根切断术(SPR或SDR),是目前可持久改善脑瘫痉挛状态的推荐疗法。一般先行SPR解除痉挛,然后根据残留畸形情况再行矫形治疗;矫形手术是对SPR的重要补充,二者次序不宜颠倒。合理的康复方法,是患儿术后运动功能有效提升的重要保障。

《痉挛型脑瘫外科治疗专家共识(2020)》提出:痉挛型脑瘫治疗三项原则,即解除痉挛、矫正畸形、实用康复。推广脑瘫外科治疗与康复一体化模式。推荐SPR外科治疗作为康复过程中的重要环节;SPR为康复训练创造条件,而康复训练是术后功能改善的重要保障。
其他治疗。鞘内注射巴氯芬(ITB)目前国内尚未正式开展。药物治疗毒副作用明显、长期效果不理想,如肉毒素Botox A、巴氯芬等。 关节畸形,可辅助使用矫形支具,必要时矫形手术。
单椎板SPR术后早期管理
保持伤口清洁干燥,避免伤口潮湿或汗水浸泡。建议每隔2天左右换药(至少3次),直至伤口愈合。
建议术后满1周可佩戴腰围坐起或下地;卧位时应解除腰围、腰围松紧适宜,利于伤口愈合。建议术后间断佩戴腰围4-6周;此期间应限制大幅度腰部动作。建议术后尽早康复;术后1周内可床旁康复(肢体按摩等)。
上一篇: 神经母细胞瘤健康处方
下一篇: 健康处方-癫痫









.jpg)

.jpg)




