关于正畸结束后的保持,你想知道的答案都在这里!
作者:孙杰 2022-01-17 13:52:51 来源:“北京儿童医院口腔科”公众号 浏览次数:
上周,我们了解了正畸结束后为什么需要戴保持器,那我们需要保持多长时间呢?常用的保持器又有哪些呢?今天,你想知道的答案都在这里!
需要保持多长时间?
1、在结束后的第一年,建议全天戴用保持器,活动保持器除外吃饭和刷牙的时间。
2、第二年可以部分时间戴保持器,比如仅夜间戴用,以便牙龈组织有充足的时间改建。
3、部分时间戴用保持器直至生长发育结束,比如骨性不调的病例需要部分时间戴用功能保持器甚至口外力装置。
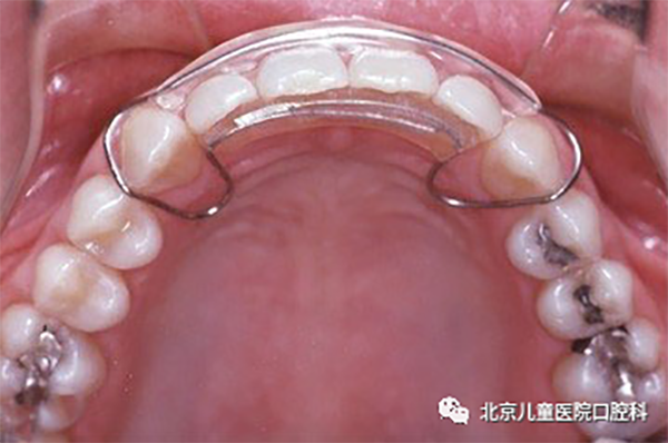
常用的保持器有哪些?
1、Hawley保持器:矫治结束后有利于深咬合的控制,并允许后牙少量调整达到更紧密的咬合关系。


2、环绕式保持器:此类保持器主要用于防止间隙复发。

3、透明保持器:也称压膜保持器,因其透明美观及舒适度高,很多患者选择此类保持器。6-9个月后,常因损坏及染色而需要更换。

多为粘接于牙齿舌面的舌侧丝保持器。常用于下切牙拥挤解除后需要永久保持的成年患者。


包括下切牙拥挤复发再排齐的活动保持器,及防止骨性错合复发的改良功能保持器。

作者简介
孙杰,主治医师,毕业于北京大学口腔医学院,口腔正畸硕士研究生,主要从事儿童错合畸形的早期矫治,青少年各种错合畸形的固定及隐形矫治,唇腭裂序列治疗等。
上一篇: 正畸治疗结束为什么还要戴保持器呢?
下一篇: 孩子生病,为什么嘴里会长溃疡?









.jpg)

.jpg)




