什么情况下适合使用正畸骨钉,又有什么优势呢?
2021-05-10 10:12:25 来源:“北京儿童医院口腔科”公众号 浏览次数:
正畸治疗过程中,骨钉并不是常规使用的工具。哪些情况下会用到骨钉呢?我们来简单了解一下。
1、无法配合使用传统手段的成人及部分青少年,比如戴用口外弓,影响美观,对佩戴者的配合度要求很高。

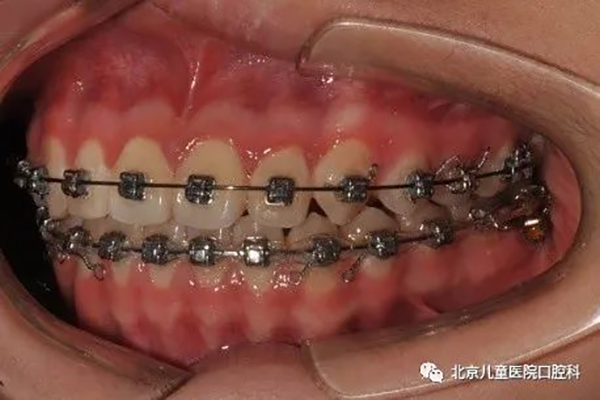
2、前牙严重前突,需要最大限度内收前牙,改善面下1/3美观。

治疗前

治疗中
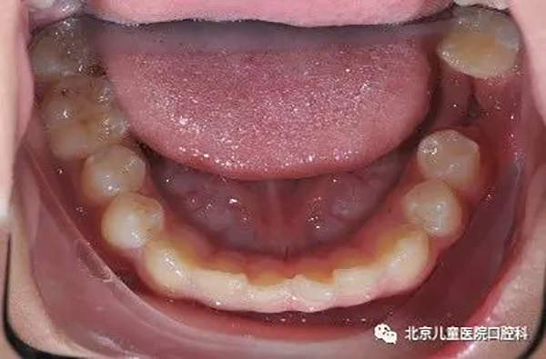
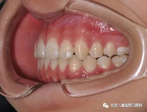
3、牙列整体远移,见于轻度牙列不齐,轻度牙齿前突,或轻度地包天的病例。

治疗前

治疗中
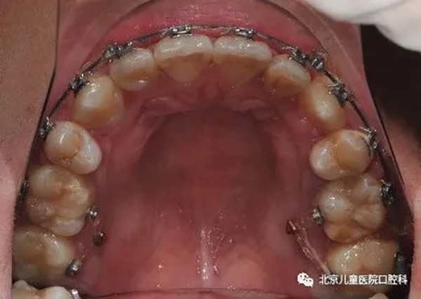
4、前移磨牙,关闭间隙。

治疗前

治疗中

治疗后
5、压低后牙,矫治开合或为对颌缺牙修复创造间隙。

6、埋伏牙、阻生牙的牵引助萌。
7、牙弓宽度不调及不对称治疗,如某些情况下中线不调的矫治。
使用正畸骨钉的优势如下:
1、减少对患者配合的依赖,缩短疗程,取得满意的疗效。
2、使可能需要拔牙矫治的边缘病例采取不拔牙矫治。
3、简化了正畸治疗的力学机制,实现复杂牙齿移动。
正畸骨钉的适用范围不局限于以上的例子,随着其应用越来越广泛,相信更多的医生与患者会从中受益。
作者简介

孙杰,主治医师,毕业于北京大学口腔医学院,口腔正畸硕士研究生,主要从事儿童错合畸形的早期矫治,青少年各种错合畸形的固定及隐形矫治,唇腭裂序列治疗等。

刘颖,女,毕业于北京大学口腔医院,获口腔颌面外科博士学位,毕业后在北京儿童医院工作至今。主要从事儿童口腔颌面外科及儿童口腔黏膜科的工作。擅长儿童牙槽外科(多生牙、阻生牙拔除、唇舌系带过短矫正等)、唇腭裂及儿童颌面部外伤、儿童语音障碍、儿童颌面部感染等疾病的诊断及治疗。

李爽,女,北京儿童医院口腔科主治医师。研究生毕业于北京大学口腔医学院,长期从事口腔内科工作,积累了丰富的临床工作经验。擅长婴幼儿奶瓶龋的序列治疗,儿童龋病、牙体牙髓病及牙齿发育异常等疾病的诊断及治疗,擅长儿童口腔健康管理及儿童口腔黏膜病的诊断及治疗。
上一篇: 孩子说话不清楚,可能是哪些原因?(下)
下一篇: 宝宝多大开始用含氟牙膏才安全呢?









.jpg)

.jpg)




