儿童上颌中切牙间隙的病因与矫治时机
作者:田海英 2021-04-05 11:05:29 来源:“北京儿童医院口腔科”公众号 浏览次数:
生理性原因
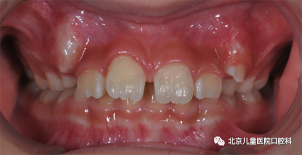
上颌恒前牙萌出期,由于牙齿长轴向远中唇侧倾斜,导致两侧中切牙间出现明显间隙,即正中间隙。
生理性正中间隙占60%左右,处理方法以观察为主。
病理性原因
1. 多生牙或埋伏牙
应拔除多生牙或埋伏牙,并利用正畸手段使正中间隙得以闭合。

图1 埋伏牙
2. 上唇系带位置异常或肥厚
须适时地行唇系带修整术。

图2 上唇系带位置异常
3. 侧切牙过小或先天缺失
建议正畸科就诊酌情治疗,常需配合修复治疗。

图3 侧切牙先天性缺失
4. 口腔不良习惯
包括:口呼吸、吮指、舔牙、舌习惯等。须尽早戒除,并及时矫正已导致的牙颌畸形。

图4 口腔不良习惯:咬下唇
5. 侧切牙牙胚位置异常
应尽早给予阻断性正畸治疗。
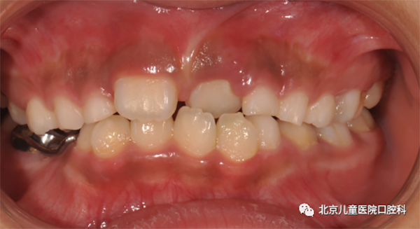
6. 乳牙滞留
应尽早拔除,使错位萌出的上颌恒中切牙及时复位。
必要时正畸治疗。
小结
(1)上中切牙间隙的原因复杂多样。
(2)应根据不同情况,选择治疗时机与制定治疗计划。
作者简介

田海英,副主任医师,口腔正畸学硕士,首都医科大学在职博士。发表核心期刊及SCI收录学术论文7篇。专业特长:儿童及青少年各类错颌畸形矫治,咬合诱导,早期矫治与口腔不良习惯矫治等。
上一篇: 孩子说话不清楚,可能是哪些原因?(上)
下一篇: 正畸骨钉植入术前术后Q&A









.jpg)

.jpg)




