口腔不良习惯,看似小问题,却有大隐患!
2021-06-21 09:49:44 来源:“北京儿童医院口腔科”公众号 浏览次数:
什么是口腔不良习惯
所谓习惯,是指在一定间隔时间内有意识或无意识地反复作一相同的动作,并持续下去。口腔不良习惯包括吮指习惯、唇习惯、吐舌习惯、口呼吸、偏侧咀嚼习惯、咬物习惯、睡眠习惯等。

口呼吸

咬下唇
口腔不良习惯的危害
口腔不良习惯是错合畸形的主要原因之一。据调查,儿童口腔不良习惯发生率为7.42%-40.06%,女生的发生率高于男生。有口腔不良习惯的群体中,错合畸形的患病率为77.43%-89.94%,明显高于自然人群。

吐舌习惯导致前牙开合
如果不良习惯未能及时克服,会使牙弓内外肌力失衡,牙齿排列紊乱,牙弓形态及颌骨位置异常,甚至会严重影响颅颌面的生长发育,造成功能障碍及美观问题,引起错合畸形的发生。错合畸形的发生及其严重程度与不良习惯的作用频率、持续时间和强度有关。不良习惯持续的时间越长、频率越高,引起的错合畸形往往越严重。



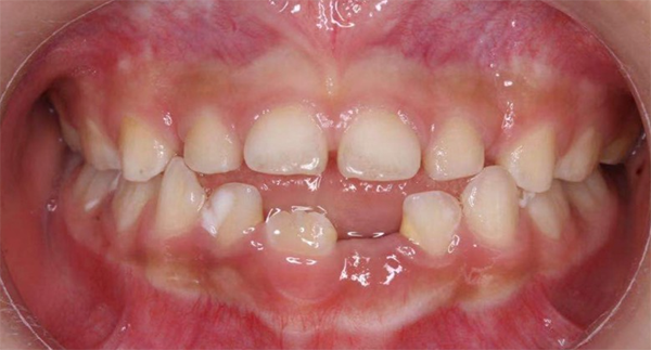
咬下唇导致上牙前突及间隙
口腔不良习惯的破除
对于由口腔不良习惯导致的错合畸形的治疗,最重要的是破除不良习惯,所以对于口腔不良习惯,应早发现,早干预。
口腔不良习惯可能与心理因素有关,包括亲子关系、生活环境、心理需求得不到满足等,因此针对这些心理因素,首先应进行心理疏导,多鼓励孩子,切不可随时随地加以训斥,必要时看心理医生。
如不良习惯不能自行克服,且已造成明显的错合畸形,则应请正畸医生进行阻断性矫治。部分错颌畸形在不良习惯破除后可能逐渐自行调整改善,但如畸形严重或颌骨生长已受影响,则需要用正畸矫治器加以矫治。

作者简介

张莹莹,首都医科大学附属北京儿童医院口腔科医师,毕业于北京大学口腔医学院,口腔正畸学硕士学历。主要从事儿童错颌畸形的早期矫治及青少年各类错颌畸形的固定及隐形矫治等。
上一篇: 儿童不良舌习惯的危害
下一篇: 儿童的慢性牙龈炎









.jpg)

.jpg)




